Un grupo internacional de científicos integrado por una argentina logró analizar en diferentes momentos del día lo que ocurre dentro de las neuronas “reloj”
Un equipo internacional integrado por dos grupos científicos de Estados Unidos, uno de Inglaterra y el que lidera en Argentina Fernanda Ceriani, jefa del Laboratorio de Genética del Comportamiento de la Fundación Instituto Leloir, logró observar sorprendentes cambios estructurales y de funcionamiento que ocurren en el interior de ciertas neuronas que regulan el reloj biológico.
El hallazgo, publicado en la revista Current Biology, fue realizado en la mosca Drosophila melanogaster, uno de los modelos más usados en investigación por compartir mecanismos biológicos con los seres humanos.
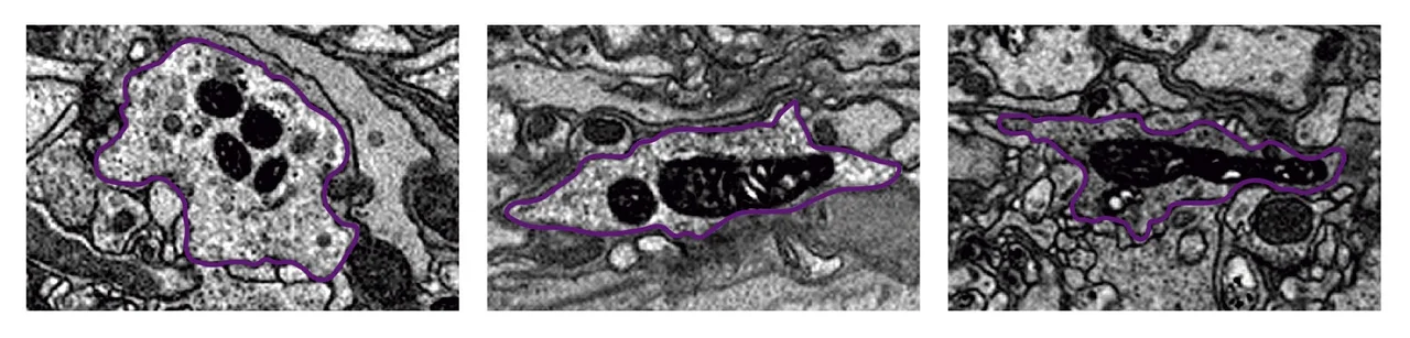
Desde la Agencia CyTA-Leloir explicaron que la visualización se realizó con el uso de microscopía electrónica volumétrica, una tecnología que no está disponible en el país y que permitió ver, por primera vez, cómo se modifican a medida que avanza el día la forma, la cantidad y el volumen de las mitocondrias, estructuras que producen la energía que necesitan las células para cumplir sus funciones.

“A la mañana, las mitocondrias son pequeñas, redondas y vigorosas, pero hacia la noche se vuelven alargadas y se fusionan. Esto sugiere que se tienen que reciclar, rejuvenecer en su funcionalidad. Tal vez sea por esto, justamente, por qué es importante el dormir: durante la noche es cuando se reconstituyen las mitocondrias que necesitaremos al despertar”, explicó Ceriani y añadió: “Esto nos habla de cómo va cambiando el estado fisiológico de las células y es algo que nadie había visto hasta ahora. Somos los primeros en observarlo a este nivel, adentro de neuronas reloj”.
El reloj biológico
El reloj biológico es un mecanismo interno que impone ciclos de 24 horas o “ritmos circadianos” para que funciones básicas de los seres vivos, como la liberación de hormonas, el metabolismo o los patrones de sueño, ocurran en el momento óptimo. Existe un reloj o “marcapasos” central, que reside en el hipotálamo del cerebro y se pone en hora a diario en respuesta a claves del ambiente, principalmente los ciclos de luz y oscuridad; y varios relojes periféricos, que se ubican en diferentes tejidos del organismo. Un mal funcionamiento de todo este engranaje puede generar desde una disminución de las defensas e insomnio hasta depresión, diabetes y menor rendimiento cognitivo.
“Pudimos ver que, según el momento del día, no sólo se transforman la estructura y la función de las mitocondrias, sino que también se modifican la cantidad de conexiones o sinapsis entre las distintas neuronas, y la cantidad y probabilidad de que vesículas cargadas con neuropéptidos se fusionen a la membrana para ser liberados. Eso nos permitió vincular esa plasticidad estructural con los cambios en la capacidad de las neuronas de influir, diferencialmente, a la red que integran a lo largo del día”, indicó Juan Ignacio Ispizua, otro de los coautores del artículo.
A partir de esta comprobación de la existencia de cambios circadianos en el interior de las neuronas reloj, se abrió una nueva línea de investigación en el grupo que lidera la científica en la Fundación Instituto Leloir.
“Como pudimos mirar con mucha resolución dentro de los procesos de estas neuronas, comprobamos que están realmente mucho más comunicadas al principio del día que a la noche. Cuando uno entiende que este proceso está ocurriendo, de alguna manera puede comprender el porqué de la importancia de respetar los ciclos de sueño y vigilia”, concluyó Ceriani.
